当院の矯正治療
①当院では、患者様一人一人の理想的な歯並び・かみ合わせを追求するため、
お口の中でサイズを計りながらワイヤーを曲げる、オーダーメイド治療を行っております。
②”歯を抜かなくても治ります”とは、言いません。
実際には、抜歯しなければ治らない方が大多数です。
抜歯をしないことにより、前歯がより前方に突出して、口が閉じにくくなったり、
あるいは歯ぐきが下がってきたり等の問題が生じます。
矯正治療における抜歯は、それ以外の歯を綺麗に並べ、安定させる為の方法です。
抜歯に要する時間は、1本あたり1〜2分です(麻酔が効くまで待っている時間は除く)。
局所麻酔で行います。
抜歯後に顔が腫れる心配はありません。
日常生活にも支障はありません。
③矯正治療は永久歯に対して行う治療です。
ですから、お子様の場合、永久歯がはえそろってから治療を開始することがほとんどです。
必要のない治療は、極力避けたいものです。
矯正の相談は無料で行っております。
お電話、ご来院、お待ちしております。
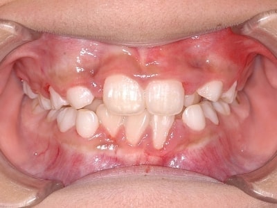
症例:10歳4ヶ月の女性
上の前歯が前方に突出しています。
横から見ると、上と下の前歯が噛み合っていないのがよくわかります。
このような方は、お家でリラックスしている時、口が開いてしまいます。
治療期間は2年6ヶ月。
上下左右1本ずつ(計4本)抜歯して、治療しました。
上の前歯が後方に下がり、前歯で噛めるようになりました。
口元の形態も、ずいぶんと変わりました。
症例:12歳10ヶ月の女性
反対咬合(受け口)です。
治療期間は2年5ヶ月。
上の歯はもともと2本少なかったので、抜歯していません。
下の歯を左右1本ずつ(計2本)抜歯してスペースを作り、
下の前歯を後方に下げました。
こうして前歯の噛み合わせが改善しました。
症例:14歳8ヶ月の女性
歯の位置、傾き、ねじれ等を治します。
治療期間は2年9ヶ月。
上下左右1本ずつ(計4本)抜歯してスペースを作りました。
このスペースを使って、うら側に重なっている前歯や、
傾いている歯を真っすぐに並べました。
症例:9歳1ヶ月の男性
混合歯列期(乳歯と永久歯が混在した時期)の治療です。
向かって右側の奥歯が、全くかみ合っていません。
また、上の前歯に隙間があります。
治療期間は10ヶ月。
向かって右側の奥歯が噛めるようになりました。
上の前歯もきれいに並び、隙間がなくなりました。
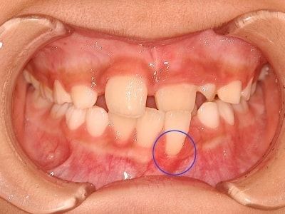
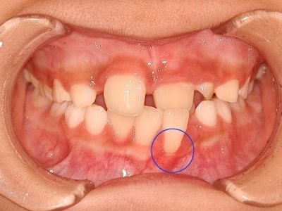
症例:7歳の女性
向かって右側の前歯のかみ合わせが逆になっています。
そのため、下の前歯が前方に押されて動揺しており、噛む度に痛みがありました。
歯ぐきが下がり、歯根がやや露出しています。(○印内)
まだ乳歯がたくさん残っており、全体的な歯並びの治療はすぐにはできません。
まず、痛くて噛めない前歯の部分だけを治療しました。
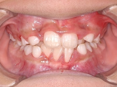
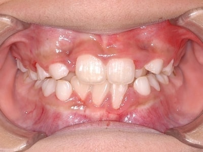
治療期間は6ヶ月。
前歯で噛めるようになりました。
今後は全ての永久歯が生えそろうまで経過を観察します。


