小児歯科
当院では、小児歯科治療を積極的に行っております。
1歳、2歳のお子様でも虫歯の治療が可能です。
乳歯の虫歯をそのままにしておくと、痛みや腫れといった症状のみならず、永久歯・永久歯の歯並びに影響を及ぼす場合があります。
ですから、乳歯の虫歯も適切な治療が必要なのです。
綺麗な乳歯は、綺麗な永久歯への第1歩です!
また、お子様がどのような治療をされているか、不安な保護者の方もたくさんいらっしゃるかと思います。
治療の様子をご覧になりたい保護者の方は、お子様と一緒に診療室へお入りいただいて構いません。
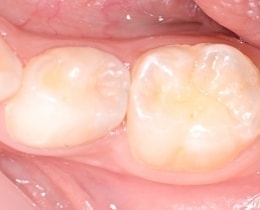
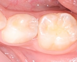
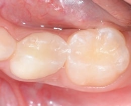
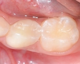
①治療前
お口の中をみただけでは、歯と歯の間に虫歯があるかどうか、わかりにくいです。
②治療前レントゲン写真
レントゲン写真でみると、歯と歯の間に虫歯がある様子がわかります。
③虫歯の様子
上の部分を削ると、中で虫歯になっている様子がわかります。
このように、上から見えにくい所で、虫歯が進行しています。
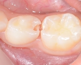
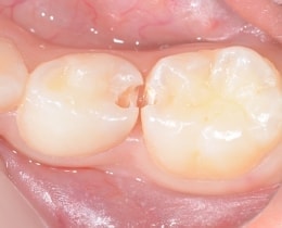
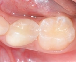
④治療後
虫歯を全て取り除き、コンポジットレジンと呼ばれる白い材料で詰めました。
※1回で治療終了です。
ラバーダム
ラバーダムと呼ばれる緑色のゴムのマスクをつけて治療している様子です。
主に、下の奥歯の治療の際に使用します。
治療する歯だけを外に出すことで、歯が唾液に触れず、治療がスムーズに行えます。
また、舌を無理におさえたり、傷つけたりすることがなく治療ができますので、事故防止にも繋がります。
シーラント
シーラントと呼ばれる白いお薬で、奥歯の溝を埋める処置です。
溝に汚れがたまり、虫歯が進行するのを防ぐことが本来の目的です。
当院では、微量のフッ素を含有したシーラントを使用しており、歯の強化にもなっています。
セルフケア
当院では、様々な衛生用品をご用意し、皆様がご自宅で良好な口腔内環境を維持するためのセルフケアのご案内もしております。
歯科で用意する本格的なケア用品を是非お試し下さい。








